審美矯正
料金
● ハイブリッド 65,000円(税別)
セラミックにプラスチックを添加することで生まれた素材です。天然歯に近い色と硬さが特徴です。
● エコノミーセラミック 100,000円(税別)
金属を使用しないことにより、歯と歯ぐきの境の変色などを防ぐことができ、見た目も自然歯と変わらず美しいです。
● スタンダードセラミック 120,000円(税別)
より自然な歯に近づく様に行程を増やし精密に作成します。前歯に適しています。
● ダイアモンドセラミック 150,000円(税別)
強度としなやかさ、美しさを兼ね備え、さらに人体との親和性を持ち合わせた理想的な素材です。
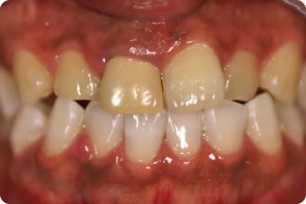
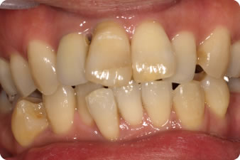
症例
計12本にスタンダードセラミックを被せました。治療期間は約8週間でした。
計6本にエコノミーセラミックを被せました。治療回数3回、治療期間は約2週間でした。
計20本にハイブリッドを被せました。治療期間は約12週間でした。
計3本にスタンダードセラミックを被せました。治療期間は約1週間でした。



























